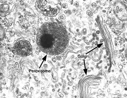
Hydrogen peroxide (H
2O
2) is a product of alcohol detoxification.
- H2O2 is produced in peroxisomes
found in all eukaryotic cells, including liver cells, where the detoxification takes place.
- Converted to water by Hydrogen peroxidase: 2H2O2 -> 2H2O + O2;
the O2 can be collected and measured in this lab.
Enzymes act by lowering the activation
energy of chemical reactions, and have optimal
temperature and pH conditions.
- TESTING THE EFFECT OF TEMPERATURE ON ENZYME ACTIVITY p. 46
- Cut strips of filter paper 5 cm long to absorb enzyme.
- Tray
setup.
- Record the 3 actual temperatures in the columns.
10°C=50°F; 37°C=98.6°F; 40°=104°F.
- When entering data, the volume should increase as time intervals increase, until it levels off.
- Graph the results.
Try to put all 3 treatments for each section on one graph, so each graph should be 3 line graphs.
- Which is the independent variable (X axis)?
- TESTING THE EFFECT OF ENZYME CONCENTRATION ON ENZYME ACTIVITY
Use 1/2 strip, 1 strip, 2 strips.
- TESTING THE EFFECT OF PH ON ENZYME ACTIVITY
Use 50% HCL and 50% NaOH, measure pH with pH paper.